Die schonende Entfernung von Titanimplantaten in unserer Praxis möglich
Warum Titanimplantate entfernen?
Die Entfernung von Titanimplantaten kann aus medizinischen Gründen notwendig sein, z.B.
wenn das Implantat nicht richtig eingeheilt ist, eine Infektion aufgetreten ist oder eine Titan- Unverträglichkeit besteht.
Auch wenn keine Unverträglichkeit gegenüber Titan festgestellt wird, kann eine Entfernung notwendig sein. Dies ist der Fall, wenn im Bereich des Implantates eine NICO / FDOK diagnostiziert wird.
Symptome der Titanunverträglichkeit
Die Symptome der Titanunverträglichkeit können von Person zu Person variieren und reichen von milden bis zu schweren Beschwerden. Symptome sind beispielsweise: unspezifische Schmerzen, Entzündungen des Zahnfleisches oder des umliegenden Gewebes, Lymphknotenschwellungen, chronische Müdigkeit (Fatigue), Abgeschlagenheit, Kopfschmerzen und Muskelschmerzen, Konzentrationsschwäche, Gelenkbeschwerden.
Nicht jeder Mensch, der Titanimplantate (oder -kronen) hat, entwickelt zwangsläufig Symptome einer Unverträglichkeit. Manche Symptome entwickeln sich erst Monate oder Jahre nach der Implantation.
Titanimplantate und mögliche Folgen für die Gesundheit – Beispiele und Literaturverweise
- Titanimplantate setzen winzige Partikel frei, die chronische Entzündungen im Körper auslösen können.
- Diese winzigen Titanpartikel können Wechselwirkungen mit elektromagnetischen Feldern verursachen. Da Titan ein Metall ist, kann es elektromagnetische Strahlung (z. B. WLAN, 5G) verstärken und dadurch das Nervensystem beeinflussen. Dies kann insbesondere bei elektrosensiblen Personen negative Auswirkungen haben (1), (2).
- Diese winzigen Titanpartikel können stillen Knochenabbau im Kiefer fördern und zu Periimplantitis führen (3).
(1) Virtanen H., Huttunen J., Toropainen A., Lappalainen R.: Interaction of mobile phones with superficial passive metallic implants. Phys Med Biol. 2005 Jun 7;50(11):2689–700.
(2) Yoshiro Fujij: Sensation of Balance Dysregulation caused/aggravated by a Collection of Electromagnetic Waves in a Dental Implant.
Open Journal of Antennas and Propagation, 2014; 2, 29–35.
(3) Schütt S., von Baehr V.: Hyperreaktivität von Gewebemakrophagen nach Kontakt mit Titanoxidpartikeln als Ursache einer verstärkten lokalen
Entzündungsreaktion bei Patienten mit Periimplantitis. ZWR – Das Deutsche Zahnärzteblatt 2010, 119:222–232.
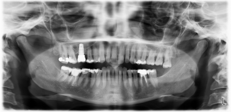
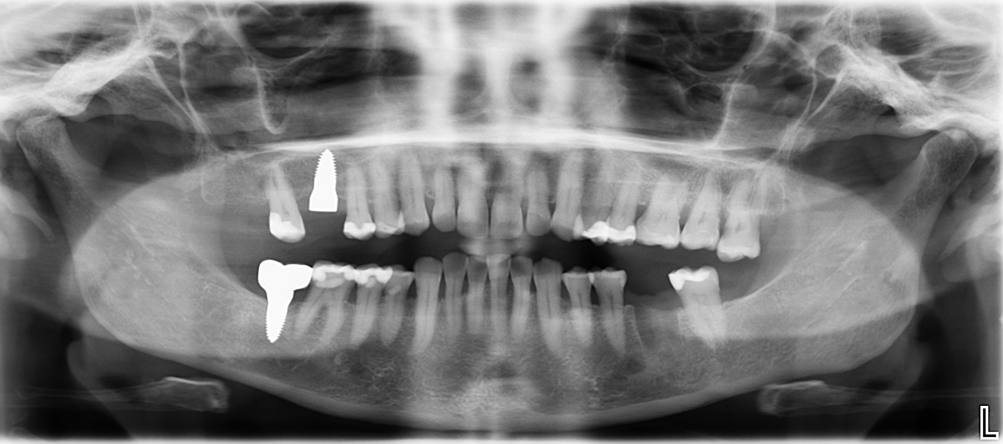
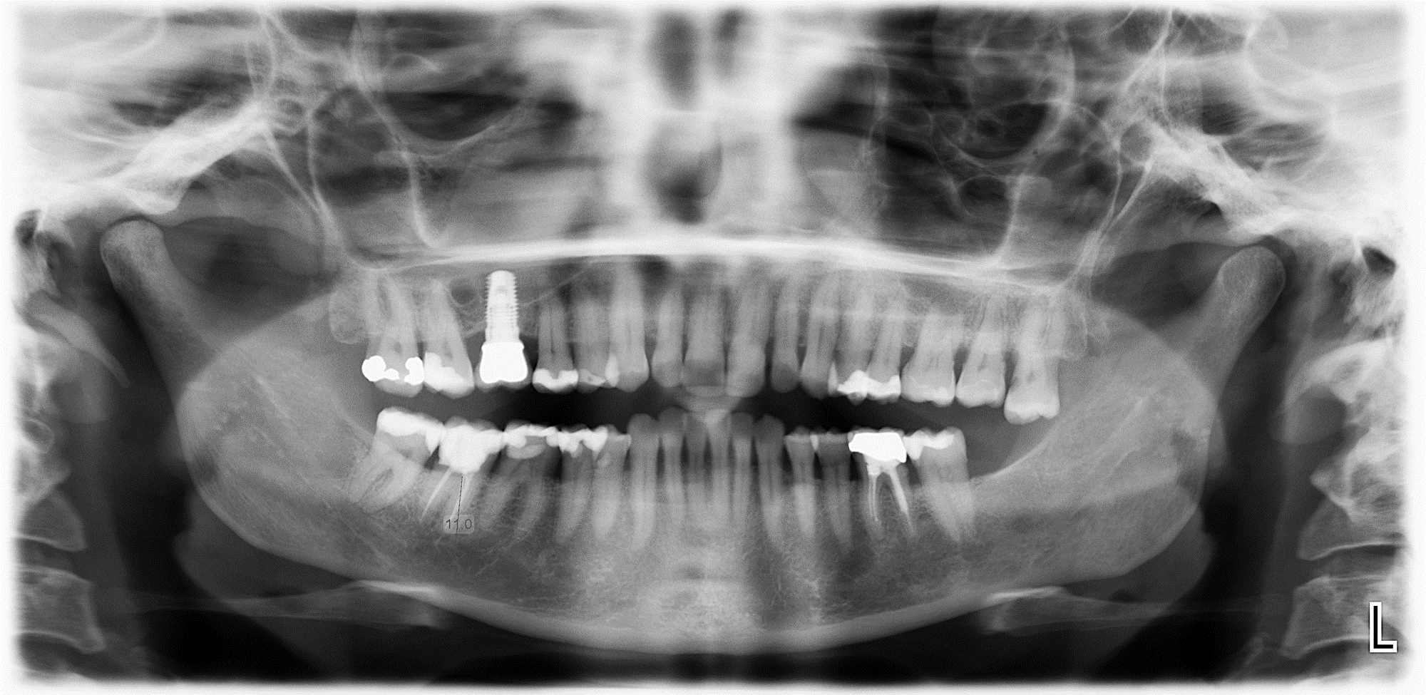
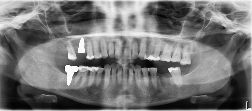
Die Implantat Entfernung in unserer Praxis
Bei der Implantat- Entfernung wird sehr genau gearbeitet, sodass keine Titanpartikel durch die Ausbohrung im Knochen zurückbleiben. Die Entfernung von Titanimplantaten erfordert nicht nur eine fachmännische chirurgische Technik, sondern auch eine umfassende Nachsorge (z.B. Schwermetallausleitung), um eine schnelle Genesung zu gewährleisten.
Unsere Praxis ist mit neuen Technologien und Materialien ausgestattet, um diesen Prozess so schonend wie möglich zu gestalten. In der Regel ist es möglich, die Titanimplantate aus dem Knochen herauszudrehen, ohne einen Knochendefekt zu hinterlassen.
Nach der Entfernung der Titanimplantate können bei gesundem Knochen Keramikimplantate sofort gesetzt werden. Mit dem unmittelbaren Austausch von Titan zu Keramik wird Zeit gewonnen, so kann das neue Implantat in dieselbe Stelle eingearbeitet und Knochenverlust vermieden werden.
Unsere Individuelle ausgearbeiteten Therapie- Protokolle sind unser Plus!
Die Unterstützung der Wundheilung, Knochenheilung, des Immunsystems, ... erfolgt durch unser individuell zusammengestelltes OP- Programm, OP- Vorbereitungs- und Nachsorge- programm, wie orale Nährstoffprotokolle, Mikrobiologische Therapie und Phytotherapie, Infusionstherapie, Neuraltherapie, Ozon, PRF- Konzentrate und Low Level- Lasertherapie
zur PRF- Aktivierung, HAEMO- LASER® THERAPIE





